Krause und Pachernegg
Verlag für Medizin und Wirtschaft
Artikel   Bilder   Volltext

Mobile Version
A-  |   A  |   A+
Werbung
 
Abbildungen und Graphiken
Assadian A  
Komplexe Rekonstruktionen in der Gefäßchirurgie

Zeitschrift für Gefäßmedizin 2010; 7 (2): 6-11

Volltext (PDF)    Summary    Praxisrelevanz    Abbildungen   


Abbildung
 
MR-Angiographie
Abbildung 1: Präoperative MR-Angiographie: Verschluss des Truncus brachiocephalicus (grüner Pfeil) und der linken Art. carotis communis und interna, hochgradige Abgangsstenose der linken Art. vertebralis (grüner Pfeil).


Keywords: Arteria carotisGefäßmedizinMR-Angiographie
 
 
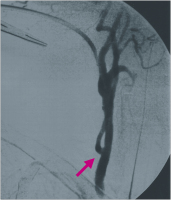
Angiographie
Abbildung 2: Postoperative Angiographie: Bypass (roter Pfeil) von der linken Art. subclavia (peripher des Abgangs der Art. vertebralis, grüner Pfeil) auf die rechte Art. carotis communis (grüner Pfeil).


Keywords: AngiographieArteria carotisGefäßmedizin
 
 
Atherosklerose
Abbildung 3: Atherosklerotisches Art. carotis-interna-Aneurysma links (grüner Pfeil).


Keywords: Arteria carotisGefäßmedizinOperationssitus
 
 
PTFE-Interponat
Abbildung 4: Nach Resektion und 6-mm-PTFE-Interponat (weißer Pfeil).


Keywords: GefäßmedizinOperationssitusPTFE-Interponat
 
 
Arteria carotis interna
Abbildung 5: Resezierte und eröffnete Art. carotis interna; das Aneurysma (roter Pfeil) ist eröffnet, proximal im Karotisbulbus atherosklerotische Stenose (weißer Pfeil).


Keywords: Arteria carotisGefäßmedizinOperationssitus
 
 
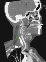
CT-Angiographie
Abbildung 6: CT-Angiographie der rechten Karotis bei Zustand nach Thrombendarterektomie und Patchverschluss vor 14 Jahren und asymptomatischer Restenose (grüner Pfeil).


Keywords: Arteria carotisCT-AngiographieGefäßmedizin
 
 
CT-Angiographie
Abbildung 7: Postoperative CT-Angiographie nach 6-mm-PTFE-Interponat von der Art. carotis communis auf die Art. carotis interna (rote Pfeile).


Keywords: Arteria carotisCT-AngiographieGefäßmedizin
 
 
Arteria carotis
Abbildung 8: Resezierte Art. carotis interna; die Nahtreihe des alten Patch ist mit dem roten Pfeil markiert.


Keywords: Arteria carotisGefäßmedizinOperationssitus
 
 
Arteria carotis
Abbildung 9: Luminale Ansicht der resezierten Art. carotis interna; die Pinzette markiert das bulbusnahe, atheromatöse Areal der Art. carotis communis/interna, der rote Pfeil markiert die Nahtreihe des alten Patch.


Keywords: Arteria carotisGefäßmedizinOperationssitus
 
 
Subtraktionsangiographie
Abbildung 10: Subtraktionsangiographie. Hochgradige Abgangsstenose der rechten Art. vertebralis.


Keywords: Arteria vertebralisGefäßmedizinSubtraktionsangiographie
 
 
Subtraktionsangiographie
Abbildung 11: Subtraktionsangiographie. Hochgradige, exzentrische Abgangsstenose der rechten Art. carotis interna (grüner Pfeil).


Keywords: Arteria carotisGefäßmedizinSubtraktionsangiographie
 
 
Kontrollangiographie
Abbildung 12: Intraoperative Kontrollangiographie nach simultaner Eversionsendarterektomie der rechten Art. carotis interna und Transposition der rechten Art. vertebralis in die rechte Art. carotis communis (roter Pfeil).


Keywords: AngiographieArteria carotisGefäßmedizin
 
 
Kontrollangiographie
Abbildung 13: Intraoperative Kontrollangiographie in einer 2. Ebene nach simultaner Eversionsendarterektomie der rechten Art. carotis interna (roter Pfeil) und Transposition der rechten Art. vertebralis in die rechte Art. carotis communis (roter Pfeil).


Keywords: AngiographieArteria carotisGefäßmedizin
 
 
Ascendensbypass
Abbildung 14: Ascendensbypass (weißer Pfeil) auf Truncus brachiocephalicus und Art. carotis communis links mit angeschlossenem Conduit (roter Pfeil; grüner Pfeil Aorta ascendens).


Keywords: Arteria carotisAscendensbypassGefäßmedizin
 
 
Abschlussangiographie
Abbildung 15: Intraoperative Abschlussangiographie nach Stenteinbringung (Conduit über den der thorakale Stentgraft retrograd eingeführt wurde, grüner Pfeil; Subclaviatransposition roter Pfeil; Bypass auf Truncus brachiocephalicus und Art. carotis communis links, weißer Pfeil).


Keywords: AngiographieGefäßmedizinStent
 
 
Arteria carotis
Abbildung 16: Elongierte Art. carotis interna nach Stentangioplastie mit symptomatischer Knickstenose (weißer Pfeil).


Keywords: Arteria carotisGefäßmedizinStent
 
 
Arteria carotis
Abbildung 17: Karotis nach Eversionendarterektomie und Kürzung; der weiße Pfeil markiert die Lokalisation der alten Knickstenose.


Keywords: Arteria carotisEversionendarterektomieGefäßmedizin
 
 
Arteria carotis
Abbildung 18: Evertierter Stent aus der Art. carotis interna (weißer Pfeil) und Art. carotis communis (roter Pfeil).


Keywords: Arteria carotisGefäßmedizinStent
 
 
 
copyright © 2000–2026 Krause & Pachernegg GmbH | Sitemap | Datenschutz | Impressum
 
Werbung