Assadian A Komplexe Rekonstruktionen in der Gefäßchirurgie Zeitschrift für Gefäßmedizin 2010; 7 (2): 6-11 Volltext (PDF) Summary Praxisrelevanz Übersicht | ||||||||||||||||||
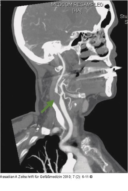
Abbildung 6: CT-Angiographie CT-Angiographie der rechten Karotis bei Zustand nach Thrombendarterektomie und Patchverschluss vor 14 Jahren und asymptomatischer Restenose (grüner Pfeil). |
Abbildung 6: CT-Angiographie
CT-Angiographie der rechten Karotis bei Zustand nach Thrombendarterektomie und Patchverschluss vor 14 Jahren und asymptomatischer Restenose (grüner Pfeil). |
