| Kociszewski J, Viereck V | ||||||||||||||||||||||
|---|---|---|---|---|---|---|---|---|---|---|---|---|---|---|---|---|---|---|---|---|---|---|
|
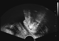
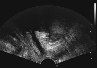
Kongressbericht: Belastungsinkontinenz - Individuell behandeln dank optimaler Diagnose. Aktuelle patientenspezifische Therapiekonzepte in der operativen Therapie der Belastungsinkontinenz. 14. und 15. Juni 2010, Wien
Journal für Urologie und Urogynäkologie 2010; 17 (3) (Ausgabe für Österreich): 51-53 Journal für Urologie und Urogynäkologie 2010; 17 (3) (Ausgabe für Schweiz): 50-52 Volltext (PDF) Abbildungen
|
||||||||||||||||||||||
