| Schwab C | ||||||||||||||||||||||||||||
|---|---|---|---|---|---|---|---|---|---|---|---|---|---|---|---|---|---|---|---|---|---|---|---|---|---|---|---|---|
|
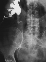
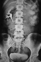
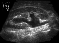
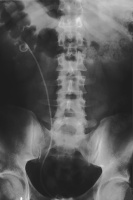
Harnwegsinfekte: Was macht der Urologe und wann sollte er eingeschaltet werden?
Journal für Urologie und Urogynäkologie 2011; 18 (1) (Ausgabe für Schweiz): 32-34 Journal für Urologie und Urogynäkologie 2011; 18 (1) (Ausgabe für Österreich): 31-32 Volltext (PDF) Abbildungen
|
||||||||||||||||||||||||||||
