Schwab C Harnwegsinfekte: Was macht der Urologe und wann sollte er eingeschaltet werden? Journal für Urologie und Urogynäkologie 2011; 18 (1) (Ausgabe für Schweiz): 32-34 Journal für Urologie und Urogynäkologie 2011; 18 (1) (Ausgabe für Österreich): 31-32 Volltext (PDF) Übersicht | ||||||||
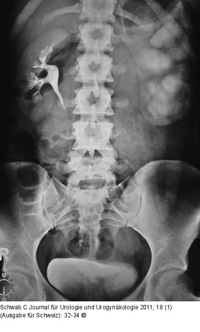
Abbildung 1: Harntrakt - Tumor Harntransportstörung links im IVU bei pyeloureteraler Abgangsstenose. |
Abbildung 1: Harntrakt - Tumor
Harntransportstörung links im IVU bei pyeloureteraler Abgangsstenose. |
