Schima W, Obermayer B, Grablowitz V Aktuelle Bilder: Postoperative Dünndarmobstruktion bei Inguinalhernie Journal für Gastroenterologische und Hepatologische Erkrankungen 2008; 6 (3): 42 Volltext (PDF) Übersicht
| ||||||
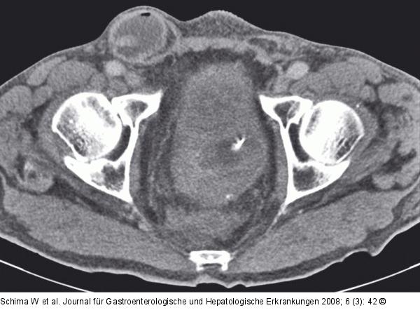
Abbildung 1b-c: Dünndarmschlinge Die MDCT-Bilder im Unterbauch zeigen eine Inguinalhernie rechts mit Prolaps einer Dünndarmschlinge. Die abführende Schlinge ist kollabiert (Pfeil). |
Abbildung 1b
Abbildung 1c
Abbildung 1b-c: Dünndarmschlinge
Die MDCT-Bilder im Unterbauch zeigen eine Inguinalhernie rechts mit Prolaps einer Dünndarmschlinge. Die abführende Schlinge ist kollabiert (Pfeil). |
