Pirker A, Prayer D, Voller B, Auff E Epileptischer Anfall - akute Erblindung: Das posteriore reversible enzephalopathische Syndrom: Zwei Fallberichte Journal für Neurologie, Neurochirurgie und Psychiatrie 2009; 10 (2): 84-86 Volltext (PDF) Übersicht | ||||
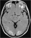
Abbildung 2: FLAIR-Sequenz Axiale Flair-Sequenz: hyperintense Signalveränderungen beidseits im okzipitalen Kortex, links auch temporal. |
Abbildung 2: FLAIR-Sequenz
Axiale Flair-Sequenz: hyperintense Signalveränderungen beidseits im okzipitalen Kortex, links auch temporal. |
