Würnschimmel E Erste eigene Erfahrungen mit der Single-Incision Laparoscopic Surgery im klinischen Alltag Journal für Urologie und Urogynäkologie 2010; 17 (1) (Ausgabe für Österreich): 16-19 Journal für Urologie und Urogynäkologie 2010; 17 (1) (Ausgabe für Schweiz): 13-16 Volltext (PDF) Summary Praxisrelevanz Übersicht | ||||||||||||||
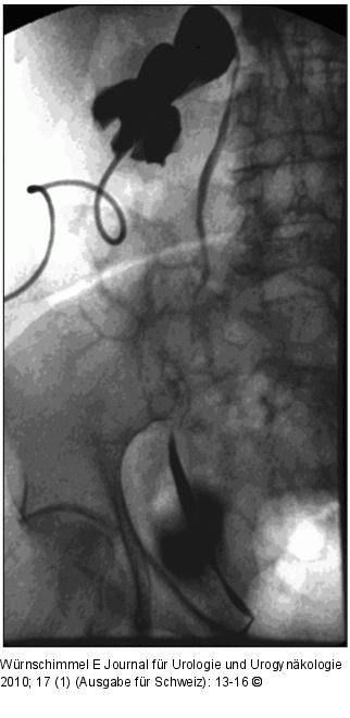
Abbildung 4: Single-Incision Laparoscopic Surgery Antegrade Pyelographie einer infizierten, gestauten Wanderniere über eine Nephrostomie (Aufnahme im Liegen) |
Abbildung 4: Single-Incision Laparoscopic Surgery
Antegrade Pyelographie einer infizierten, gestauten Wanderniere über eine Nephrostomie (Aufnahme im Liegen) |
