Röther J Sinus- und Hirnvenenthrombose Journal für Neurologie, Neurochirurgie und Psychiatrie 2010; 11 (4): 65-70 Volltext (PDF) Summary Praxisrelevanz Übersicht | ||||||||
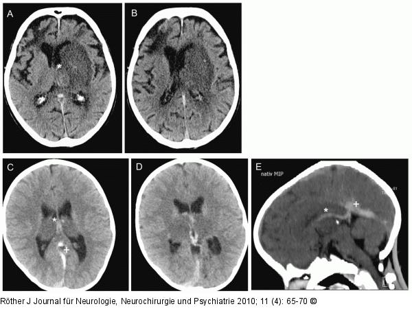
Abbildung 3a-e: SVT A, B: Bildgebung der SVT: Innere Hirnvenenthrombose (*V. thalamostriata) mit Stauungsinfarkt. Hypodensität hält sich nicht an die Grenzen der striatolentikulären Gefäße, sondern umfasst auch den Thalamus! C–E: 6-jähriger Junge mit Down-Syndrom und Colitis. Exsikkose nach Diarrhöen. Innere Hirnvenenthrombose (* V. thalamostriata; + V. Galeni und Sinus rectus). |
Abbildung 3a-e: SVT
A, B: Bildgebung der SVT: Innere Hirnvenenthrombose (*V. thalamostriata) mit Stauungsinfarkt. Hypodensität hält sich nicht an die Grenzen der striatolentikulären Gefäße, sondern umfasst auch den Thalamus! C–E: 6-jähriger Junge mit Down-Syndrom und Colitis. Exsikkose nach Diarrhöen. Innere Hirnvenenthrombose (* V. thalamostriata; + V. Galeni und Sinus rectus). |
