Rössler K, Jasarevic Z, Hainfellner J, Lang A Fallbericht: Toxoplasmose/JC-Polymavirus-Koinfektion als primär singuläre kontrastaffine Raumforderung: Rasch letaler Verlauf einer neu diagnostizierten HIV-Infektion nach Grand-mal-Anfall Journal für Neurologie, Neurochirurgie und Psychiatrie 2010; 11 (4): 83-84 Volltext (PDF) Übersicht | ||||||||||||||||||
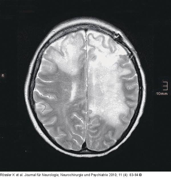
Abbildung 7: Grand-mal-Anfall MRT, T2, axial: ausgedehntes, bihemisphärisches Ödem. |
Abbildung 7: Grand-mal-Anfall
MRT, T2, axial: ausgedehntes, bihemisphärisches Ödem. |
