Schubert GA, Ortler M, Seiz M, Chemelli A, Thome C Auf einen Blick: Versorgung eines proximalen "blister-like" Carotis-interna-Aneurysmas mittels Sundt-clip: Illustrative Fallbeschreibung Journal für Neurologie, Neurochirurgie und Psychiatrie 2010; 11 (4): 88-91 Volltext (PDF) Übersicht | ||||||
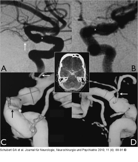
Abbildung 1a-d: Arteria carotis - Aneurysma In der konventionellen digitalen Subtraktionsangiographie (A, B) kann die proximale Stenose (x) unmittelbar vor Beginn der dolichektatischen Erweiterung der ACI nachvollzogen werden. Wird die konventionelle Aufnahme 3-dimensional rekonstruiert (C, D), so ist die Konfiguration des Aneurysmas noch deutlicher ersichtlich. Entscheidend ist hierbei auch das Verhältnis zur A. ophthalmica (schwarzer Pfeil) und der A. choroidea anterior (weißer Pfeil), welche in unmittelbarer Nähe des Aneurysmas ihren Ursprung haben und bei einer chirurgischen Versorgung zwingend geschont werden müssen. |
Abbildung 1a-d: Arteria carotis - Aneurysma
In der konventionellen digitalen Subtraktionsangiographie (A, B) kann die proximale Stenose (x) unmittelbar vor Beginn der dolichektatischen Erweiterung der ACI nachvollzogen werden. Wird die konventionelle Aufnahme 3-dimensional rekonstruiert (C, D), so ist die Konfiguration des Aneurysmas noch deutlicher ersichtlich. Entscheidend ist hierbei auch das Verhältnis zur A. ophthalmica (schwarzer Pfeil) und der A. choroidea anterior (weißer Pfeil), welche in unmittelbarer Nähe des Aneurysmas ihren Ursprung haben und bei einer chirurgischen Versorgung zwingend geschont werden müssen. |
