Schima W Aktuelle Bilder: Dünndarmileus durch eine Inguinalhernie Journal für Gastroenterologische und Hepatologische Erkrankungen 2010; 8 (4): 30 Volltext (PDF) Übersicht | ||||||
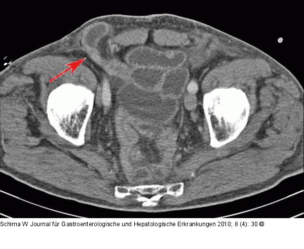
Abbildung 1b: Dünndarmschlinge Durchtritt einer komprimierten Dünndarmschlinge durch den Leistenkanal (Pfeil). |
Abbildung 1b: Dünndarmschlinge
Durchtritt einer komprimierten Dünndarmschlinge durch den Leistenkanal (Pfeil). |
