Schima W Aktuelle Bilder: Dünndarmileus durch eine Inguinalhernie Journal für Gastroenterologische und Hepatologische Erkrankungen 2010; 8 (4): 30 Volltext (PDF) Übersicht | ||||||
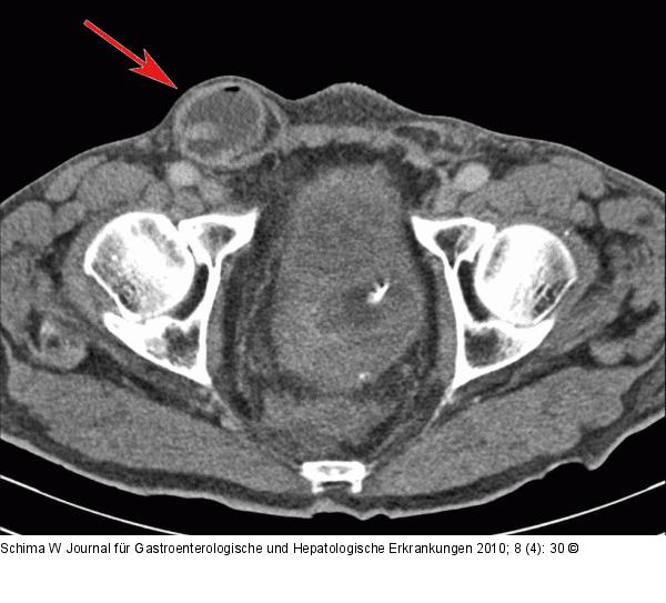
Abbildung 1c: Dünndarmschlinge Man erkennt die Dünndarmschlinge in der Inguinalhernie (Pfeil). |
Abbildung 1c: Dünndarmschlinge
Man erkennt die Dünndarmschlinge in der Inguinalhernie (Pfeil). |
