Stavrou I, Burtscher J Auf einen Blick: Lumbale erosive Osteochondrose versus infektiöse Spondylodiszitis: Ein Fallbericht Journal für Neurologie, Neurochirurgie und Psychiatrie 2011; 12 (3): 308-309 Volltext (PDF) Übersicht | ||||||
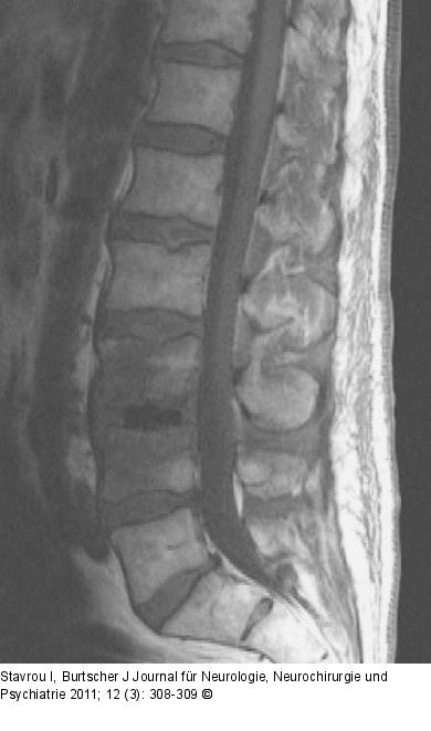
Abbildung 2: Wirbelkörper - MRT 1,5 Tesla, sagittale T1-gewichtete Sequenz nach Kontrastmittelgabe: Zustand nach X-LIF (am 5. postoperativen Tag) mit perkutaner transpedikulärer Stabilisierung bei L3/L4. Keine Kontrastmittelaufnahme der Wirbelkörper L3/L4 nachweisbar. |
Abbildung 2: Wirbelkörper - MRT
1,5 Tesla, sagittale T1-gewichtete Sequenz nach Kontrastmittelgabe: Zustand nach X-LIF (am 5. postoperativen Tag) mit perkutaner transpedikulärer Stabilisierung bei L3/L4. Keine Kontrastmittelaufnahme der Wirbelkörper L3/L4 nachweisbar. |
