Vormittag L, Weiser-Jasch O, Kafka A, Papala MT, Henry M, Winkler T, Öhler L, Bischof G, Knocke-Abulesz TH, Appel W, Braun O, Hadatsch B Patient mit wiederholter kurativ intendierter Lebermetastasenresektion Tumorboard 2012; 1 (1): 16-20 Volltext (PDF) Übersicht | ||||||||||
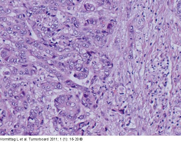
Abbildung 4: Lebermetastasen Lebermetastasen vom Dez. 2005: überwiegend vitales Tumorgewebe mit einzelnen Tumornekrosen sowie geringer entzündlicher Randreaktion, kaum Fibrose. |
Abbildung 4: Lebermetastasen
Lebermetastasen vom Dez. 2005: überwiegend vitales Tumorgewebe mit einzelnen Tumornekrosen sowie geringer entzündlicher Randreaktion, kaum Fibrose. |
