Vormittag L, Weiser-Jasch O, Kafka A, Papala MT, Henry M, Winkler T, Öhler L, Bischof G, Knocke-Abulesz TH, Appel W, Braun O, Hadatsch B Patient mit wiederholter kurativ intendierter Lebermetastasenresektion Tumorboard 2012; 1 (1): 16-20 Volltext (PDF) Übersicht | ||||||||||
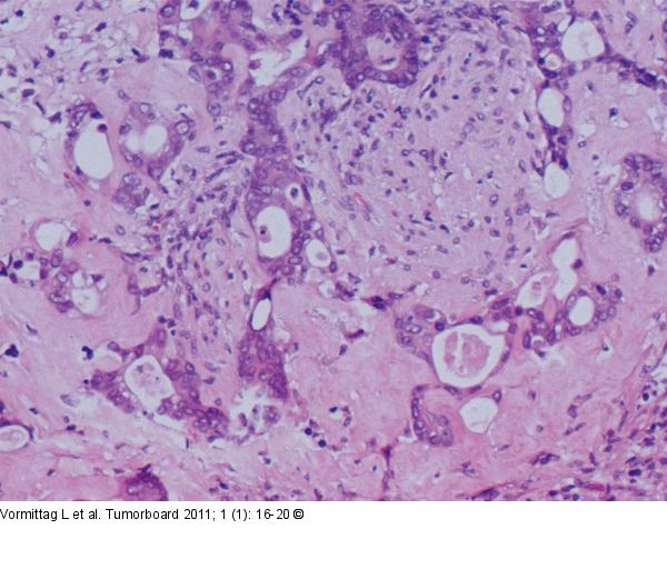
Abbildung 5: Lebermetastasen Lebermetastase von 2010 nach Chemotherapie: deutliche Zeichen eines Therapieerfolges mit etwa gleicher Verteilung vitaler Tumorzellen und fibrotischer Areale (zellarm mit einzelnen reaktiven Atypien; Regressionsgrad 1–2 nach Dworak) |
Abbildung 5: Lebermetastasen
Lebermetastase von 2010 nach Chemotherapie: deutliche Zeichen eines Therapieerfolges mit etwa gleicher Verteilung vitaler Tumorzellen und fibrotischer Areale (zellarm mit einzelnen reaktiven Atypien; Regressionsgrad 1–2 nach Dworak) |
