Winkler PA Trends und Perspektiven in der Neurochirurgie: Mikroneurochirurgie und Endoskopie pathologischer Prozesse im Bereich des III. Ventrikels Journal für Neurologie, Neurochirurgie und Psychiatrie 2012; 13 (2): 59-62 Volltext (PDF) Übersicht | ||||||
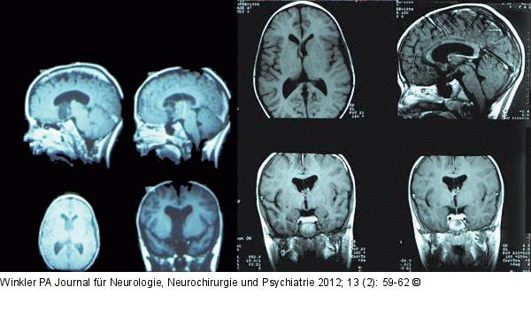
Abbildung 2: Gelastische Epilepsie Jahre alter Knabe mit „Pavor-nocturnus“-ähnlichen Anfällen und signifikanten kognitiven Einbußen vor der Operation. Diagnose: Gelastische Epilepsie (von γελαω = lache). Links präoperative Bilder, rechts postoperative Bilder. |
Abbildung 2: Gelastische Epilepsie
Jahre alter Knabe mit „Pavor-nocturnus“-ähnlichen Anfällen und signifikanten kognitiven Einbußen vor der Operation. Diagnose: Gelastische Epilepsie (von γελαω = lache). Links präoperative Bilder, rechts postoperative Bilder. |
