Böhmer A, Glaser F Fallbericht: Herzaneurysma oder Tumor? Journal für Kardiologie - Austrian Journal of Cardiology 2013; 20 (3-4): 104-107 Volltext (PDF) Übersicht
| ||||||||||||
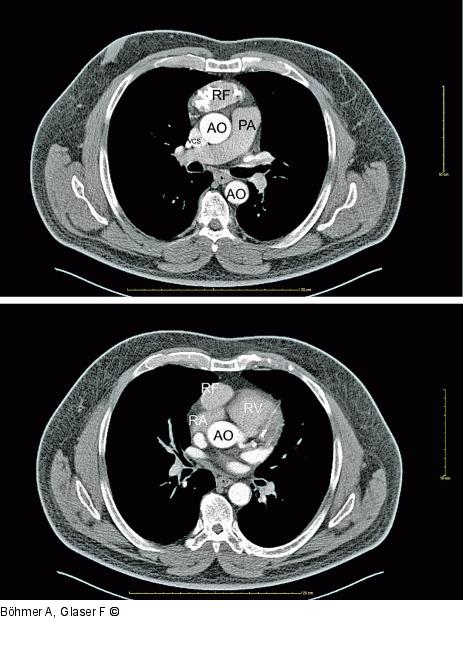
Abbildung 1: CT mit Kontrastmittel CT mit Kontrastmittel: Sagittalschnitt auf Höhe rechte Pulmonalarterie und Einmündung der Vena cava superior in den rechten Vorhof: Arterielle Kontrastphase. Raumforderung im vorderen Mediastinum, mit – abgesehen von den Verkalkungen – ähnlicher Dichte wie der rechte Vorhof. |
Film starten
Abbildung 1: CT mit Kontrastmittel
CT mit Kontrastmittel: Sagittalschnitt auf Höhe rechte Pulmonalarterie und Einmündung der Vena cava superior in den rechten Vorhof: Arterielle Kontrastphase. Raumforderung im vorderen Mediastinum, mit – abgesehen von den Verkalkungen – ähnlicher Dichte wie der rechte Vorhof. |
