Weihs W, Ritter B Echokardiographie aktuell: PFO, ASD oder beides? Journal für Kardiologie - Austrian Journal of Cardiology 2013; 20 (3-4): 115-116 Volltext (PDF) Übersicht
| ||||||||||||
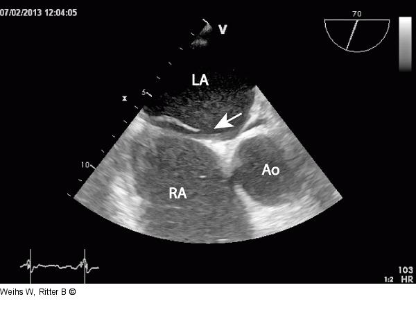
Abbildung 3: Fossa ovalis Einstellung der Fossa ovalis mit einem offenen Foramen ovale (Pfeil). LA: linker Vorhof; RA: rechter Vorhof; Ao: Aorta |
Abbildung 3: Fossa ovalis
Einstellung der Fossa ovalis mit einem offenen Foramen ovale (Pfeil). LA: linker Vorhof; RA: rechter Vorhof; Ao: Aorta |
