Verlag für Medizin und Wirtschaft
Artikel
Bilder
Volltext
Mobile Version
A-
|
A
|
A+
Werbung
Abo
Bestellung Jahresabonnement (Print/elektronisch)
Bestellung kostenloses e-Journal-Abo
Mediadaten
Journale
News
Datenbanken
Suche Medizinische Publikationen
Suche Abbildungen und Grafiken
Medizinprodukte - Labortechnik
Antidotarium (Stand 2012)
Phytokodex (Stand 2012)
Fortbildung
Bücher
Fachbücher
Patientenliteratur
Impressum
Offenlegung
Kontakt
Disclaimers & Copyright
Allgemeine Geschäftsbedingungen
Datenschutzerklärung
Sitemap
Gangl C, Delle Karth G
OCT-Corner: Koronares Aneurysma
Journal für Kardiologie - Austrian Journal of Cardiology 2013; 20 (7-8)
: 230-232
Volltext (PDF)
Übersicht
Film
Film
Film
Film
Film
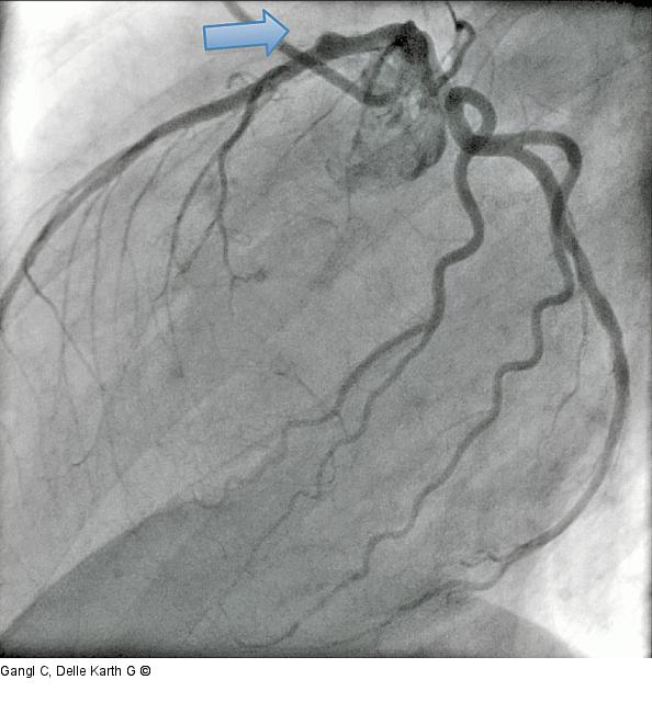
Abbildung 4: LAO
Aneurysmatische Ausbuchtung, LAO kaudal
Film starten
Vorheriges Bild
Nächstes Bild
Abbildung 4: LAO
Aneurysmatische Ausbuchtung, LAO kaudal
copyright © 2000–2026
Krause & Pachernegg GmbH
|
Sitemap
|
Datenschutz
|
Impressum
Werbung