Neugebauer P, Jerabek P, Kala P, Bocek O, Poloczek M, Vytiska M, Parenica J Guiding Catheter-Induced Dissection with the Closure of the Last Patent Bypass Graft – A Case Report Journal für Kardiologie - Austrian Journal of Cardiology 2013; 20 (7-8): 222-225 Volltext (PDF) Übersicht | ||||||||||||||||
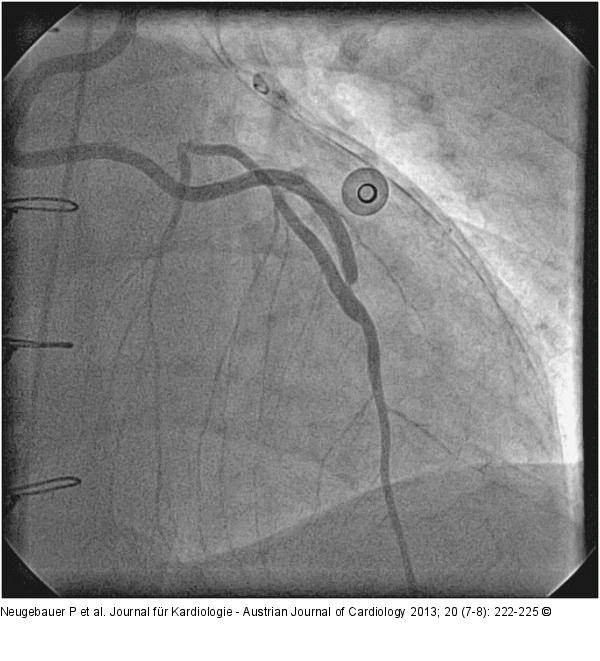
Abbildung 2: Catheter-Induced Dissection Angio of LIMA: 90% stenosis in LIMA-LAD anastomosis. |
Abbildung 2: Catheter-Induced Dissection
Angio of LIMA: 90% stenosis in LIMA-LAD anastomosis. |
