Bohlmann MK, Hunold P, Rabe T, Ahrendt HJ, Römer T, Wallwiener M, König K, Schollmeyer T, Tinneberg HR Neue diagnostische und therapeutische Optionen bei Patientinnen mit Myomen - Hochintensiver fokussierter Ultraschall Journal für Reproduktionsmedizin und Endokrinologie - Journal of Reproductive Medicine and Endocrinology 2013; 10 (5-6): 266-272 Volltext (PDF) Summary Übersicht | ||||||||||||||||||
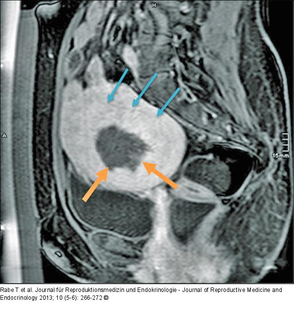
Abbildung 3c: HIFU-Behandlung Sagittale Kontrastmittel-MRT (T1-gewichtet) direkt nach HIFU-Behandlung mit Nachweis des zentralen, hypointens zur Darstellung kommenden Perfusionsdefektes des Myoms (orange Pfeile). Differenzierung der Kapsel des submukös-intramuralen Myoms vom normalen Myometrium durch eine feine Trennschicht (blaue Pfeile). |
Abbildung 3c: HIFU-Behandlung
Sagittale Kontrastmittel-MRT (T1-gewichtet) direkt nach HIFU-Behandlung mit Nachweis des zentralen, hypointens zur Darstellung kommenden Perfusionsdefektes des Myoms (orange Pfeile). Differenzierung der Kapsel des submukös-intramuralen Myoms vom normalen Myometrium durch eine feine Trennschicht (blaue Pfeile). |
