Zirngast B, Tiessenhausen K, Huber S, Binder-Prötsch G, Mächler H Herzchirurgie aktuell: Komplexe Typ-A-Aortendissektion Journal für Kardiologie - Austrian Journal of Cardiology 2014; 21 (5-6): 162-163 Volltext (PDF) Übersicht | ||||||||||
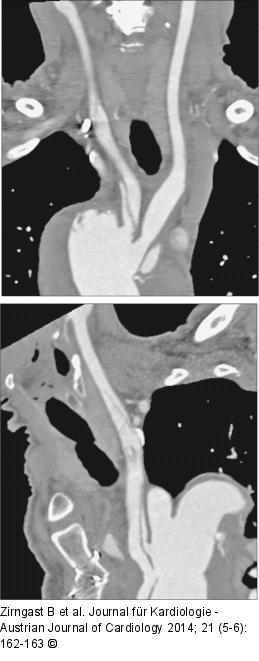
Abbildung 3: A. carotis communis Dissektion der A. carotis communis dextra et sinistra |
Abbildung 3: A. carotis communis
Dissektion der A. carotis communis dextra et sinistra |
