Gangl C, Delle Karth G OCT-Corner: In-Stent-Restenose bei bioresorbierbarer Gefäßstütze Journal für Kardiologie - Austrian Journal of Cardiology 2014; 21 (7-8): 226-228 Volltext (PDF) Übersicht
| ||||||||||||
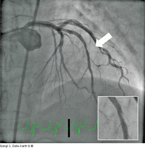
Abbildung 3: ABSORB Angiographisch zeigt sich eine Stufenbildung im Bereich des distalen ABSORB. |
Abbildung 3: ABSORB
Angiographisch zeigt sich eine Stufenbildung im Bereich des distalen ABSORB. |
