Pfabe FP Das isolierte Iliakalaneurysma – Natürlicher Verlauf und aktueller Stand von Diagnostik und Therapie Zeitschrift für Gefäßmedizin 2014; 11 (3): 7-14 Volltext (PDF) Summary Praxisrelevanz Übersicht | ||||||||||||||||
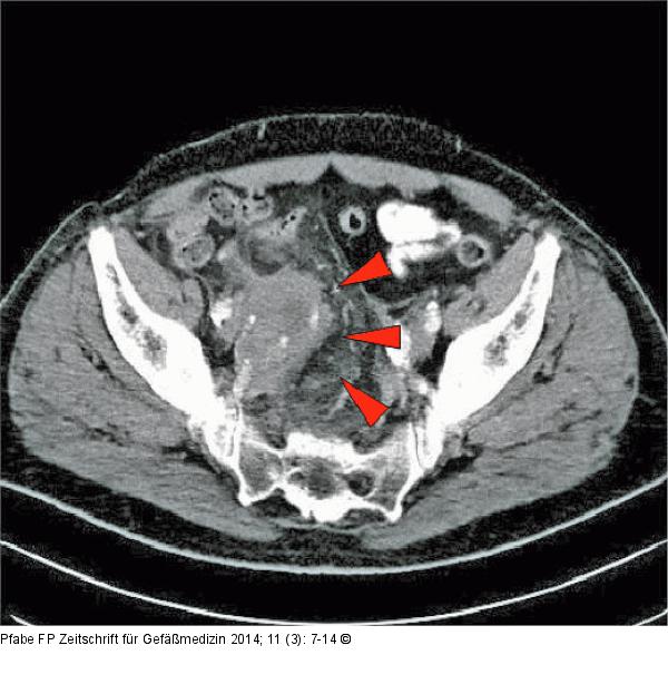
Abbildung 4: Iliakalaneurysma Retroperitoneales Hämatom (rote Pfeile) bei gedeckter Ruptur eines Aneurysmas der A. iliaca interna rechts. |
Abbildung 4: Iliakalaneurysma
Retroperitoneales Hämatom (rote Pfeile) bei gedeckter Ruptur eines Aneurysmas der A. iliaca interna rechts. |
