Brezinka C Tipps und Tricks im Gyn-Ultraschall: Follikelmessung im Ultraschall mit 2D- und 3D-Ultraschall Journal für Gynäkologische Endokrinologie 2014; 8 (4) (Ausgabe für Österreich): 24-28 Journal für Gynäkologische Endokrinologie 2014; 8 (4) (Ausgabe für Schweiz): 28-32 Volltext (PDF) Übersicht | ||||||||||||||||
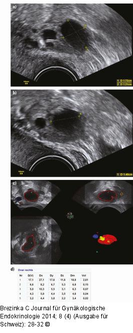
Abbildung 3a-d: Follikelmessung 11. Zyklustag bei Low-dose-Stimulation: (a) Zunächst wird der Follikel in der maximalen Größe dargestellt und gemessen, (b) in der Folge wird der Schallkopf 90° gedreht und eine weitere Messung durchgeführt. (c) Die Sono-AVC-Messung zeigt den größten Follikel in Rot an. (d) Die Messung zeigt zuerst den auf die elliptische Form des Follikels bezogenen Follikeldurchmesser D(V), dann die Messung in 3 Ebenen, wie sie das System vornimmt, und dann den Mittelwert aus Dx, Dy und Dz. Der letzte Wert gibt das errechnete Volumen in Millilitern an. |
Abbildung 3a-d: Follikelmessung
11. Zyklustag bei Low-dose-Stimulation: (a) Zunächst wird der Follikel in der maximalen Größe dargestellt und gemessen, (b) in der Folge wird der Schallkopf 90° gedreht und eine weitere Messung durchgeführt. (c) Die Sono-AVC-Messung zeigt den größten Follikel in Rot an. (d) Die Messung zeigt zuerst den auf die elliptische Form des Follikels bezogenen Follikeldurchmesser D(V), dann die Messung in 3 Ebenen, wie sie das System vornimmt, und dann den Mittelwert aus Dx, Dy und Dz. Der letzte Wert gibt das errechnete Volumen in Millilitern an. |
