Czihal M, Hoffmann U Aortitis Zeitschrift für Gefäßmedizin 2014; 11 (4): 14-19 Volltext (PDF) Summary Praxisrelevanz Übersicht | ||||||||
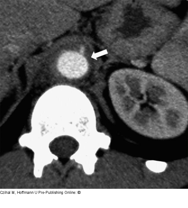
Abbildung 4: Aorta abdominalis - Pannus 25-jähriger Patient mit B-Symptomatik, dumpfen Rückenschmerzen und erhöhten systemischen Entzündungszeichen. CT-Angiographie mit Darstellung eines entzündlichen Pannus (Pfeil) im Bereich der suprarenalen Aorta abdominalis. Der Befund ist vereinbar mit einer chronischen Periaortitis. |
Abbildung 4: Aorta abdominalis - Pannus
25-jähriger Patient mit B-Symptomatik, dumpfen Rückenschmerzen und erhöhten systemischen Entzündungszeichen. CT-Angiographie mit Darstellung eines entzündlichen Pannus (Pfeil) im Bereich der suprarenalen Aorta abdominalis. Der Befund ist vereinbar mit einer chronischen Periaortitis. |
