Weihs W Echokardiographie aktuell: Vorhofseptumaneurysma Journal für Kardiologie - Austrian Journal of Cardiology 2015; 22 (9-10): 226-227 Volltext (PDF) Übersicht
| ||||||||||||
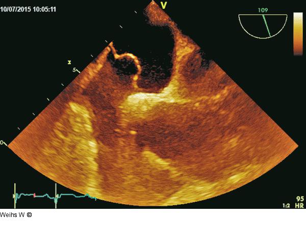
Abbildung 1: Vorhofseptumaneurysma Mobiles Vorhofseptumaneurysma mit kleinem PFO. |
Film starten
Abbildung 1: Vorhofseptumaneurysma
Mobiles Vorhofseptumaneurysma mit kleinem PFO. |
