Gangl C, Delle Karth G OCT-Corner: Plaqueruptur versus Dissektion Journal für Kardiologie - Austrian Journal of Cardiology 2015; 22 (9-10): 228-229 Volltext (PDF) Übersicht
| ||||||||
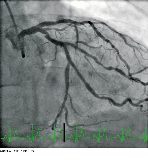
Abbildung 1: Proximale A. cricumlexa Kontrasmittelaussparung in der proximalen CX |
Abbildung 1: Proximale A. cricumlexa
Kontrasmittelaussparung in der proximalen CX |
