Holfeld J, Tepeköylü C, Schachner T Bilder der Herzchirurgie: Hochalpiner Thoraxschmerz Journal für Kardiologie - Austrian Journal of Cardiology 2015; 22 (11-12): 292-294 Volltext (PDF) Übersicht
| ||||||||||||
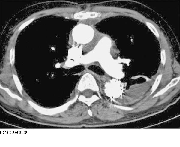
Abbildung 4: CT Postoperatives CT. Der Patient erhielt einen klappenerhaltenden Ascendens- und Wurzelersatz (David-OP) sowie einen kompletten Bogenersatz. Darüber hinaus wurde intraoperativ die Aorta descendens mittels zweier Stentgrafts versorgt. |
Abbildung 4: CT
Postoperatives CT. Der Patient erhielt einen klappenerhaltenden Ascendens- und Wurzelersatz (David-OP) sowie einen kompletten Bogenersatz. Darüber hinaus wurde intraoperativ die Aorta descendens mittels zweier Stentgrafts versorgt. |
