Gappmaier W, Schlotterbeck K, Werner P, Schachner T, Grimm M, Benzer W Fallbericht: Seltene Ursache eines embolischen Schlaganfalls - Der Stellenwert der Echokardiographie in der Suche nach der Emboliequelle Journal für Kardiologie - Austrian Journal of Cardiology 2016; 23 (3-4): 88-90 Volltext (PDF) Übersicht | ||||||||||
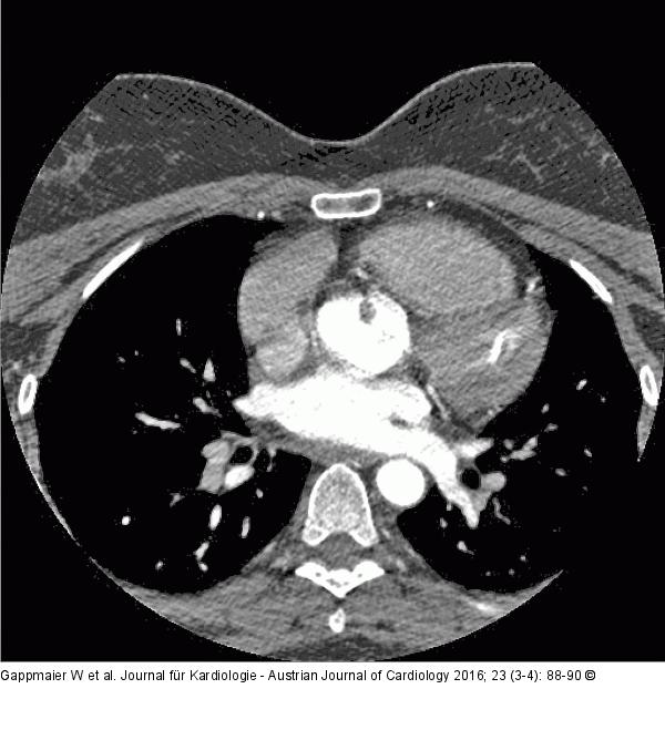
Abbildung 2: CT-Angiographie CT-Angiographie: Befund einer verdächtigen kleinen Kontrastmittelaussparung im Bereich der Aortenklappe |
Abbildung 2: CT-Angiographie
CT-Angiographie: Befund einer verdächtigen kleinen Kontrastmittelaussparung im Bereich der Aortenklappe |
