Steichen-Gersdorf E, Kapelari K, Hofer S Wachstumsstörung bei SHOX-Defizienz // SHOX Deficiency Disorders Journal für Klinische Endokrinologie und Stoffwechsel - Austrian Journal of Clinical Endocrinology and Metabolism 2016; 9 (3): 67-70 Volltext (PDF) Summary Praxisrelevanz Übersicht | ||||||
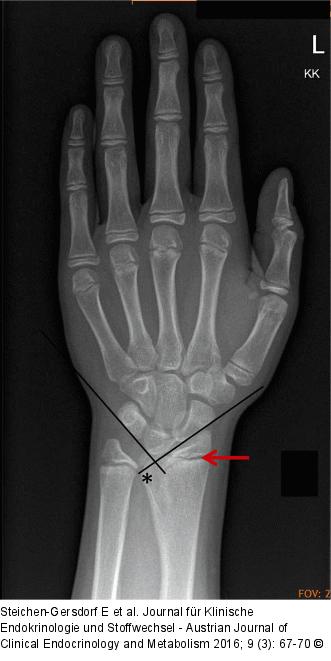
Abbildung 2: Radiologische Zeichen Radiologische Zeichen der SHOX-Defizienz, Knochenalter 13 Jahre a) Fusion der ulnaren Radiusepiphyse (Triangulation), siehe Pfeil b) Aufhellung der distalen Radiusmetaphyse (Radiolucency), * c) spitzer Karpalwinkel (Pyramidalisation der proximalen karpalen Reihe) |
Abbildung 2: Radiologische Zeichen
Radiologische Zeichen der SHOX-Defizienz, Knochenalter 13 Jahre a) Fusion der ulnaren Radiusepiphyse (Triangulation), siehe Pfeil b) Aufhellung der distalen Radiusmetaphyse (Radiolucency), * c) spitzer Karpalwinkel (Pyramidalisation der proximalen karpalen Reihe) |
