Zangrando M, Böhmer A, Glaser F Fallbericht: Kardiale Sarkoidose mit Normalisierung einer schwer reduzierten links- und rechtsventrikulären Pumpfunktion Journal für Kardiologie - Austrian Journal of Cardiology 2017; 24 (9-10): 216-221 Volltext (PDF) Übersicht
| ||||||||||||||||
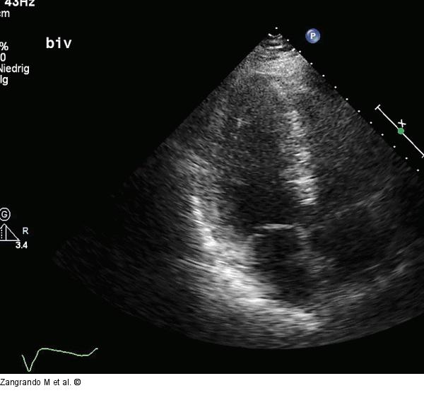
Abbildung 8: Echokardiographie - Film 4 Echokardiographischer Dreikammerblick (gleiche Untersuchung wie Film 3). |
Film starten
Abbildung 8: Echokardiographie - Film 4
Echokardiographischer Dreikammerblick (gleiche Untersuchung wie Film 3). |
