Ritter B, Weihs W Echokardiographie aktuell: Die Reise des Thrombus - Pulmonalembolie der etwas anderen Art Journal für Kardiologie - Austrian Journal of Cardiology 2017; 24 (7-8): 166-167 Volltext (PDF) Übersicht
| ||||||||||
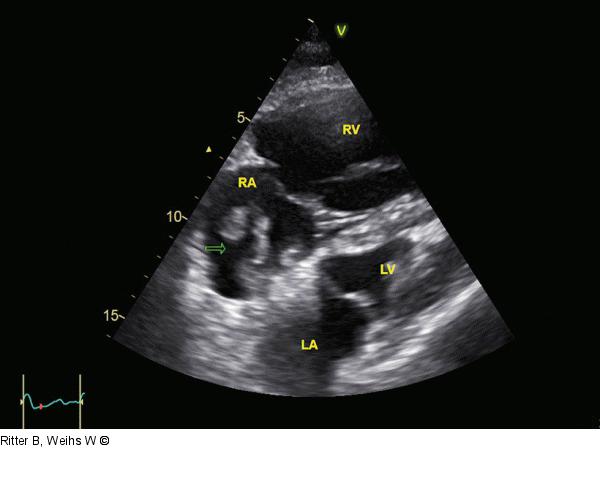
Abbildung 1: Vierkammerblick Initialer subkostaler Vierkammerblick. Massive Dilatation und Hypokontraktilität des rechten Ventrikels. Mobiler Thrombus (Pfeil) im rechten Vorhof. RA: rechter Vorhof; RV: rechter Ventrikel; LV: linker Ventrikel; LA: linker Vorhof |
Film starten
Abbildung 1: Vierkammerblick
Initialer subkostaler Vierkammerblick. Massive Dilatation und Hypokontraktilität des rechten Ventrikels. Mobiler Thrombus (Pfeil) im rechten Vorhof. RA: rechter Vorhof; RV: rechter Ventrikel; LV: linker Ventrikel; LA: linker Vorhof |
