Jacke C, Hejazi S, Marin G, Görler U, Arjumand J Fallbericht: Thrombininjektion in die Art. obturatoria bei persistierender Beckenblutung Journal für Kardiologie - Austrian Journal of Cardiology 2018; 25 (3-4): 82-83 Volltext (PDF) Übersicht | ||||||||||||
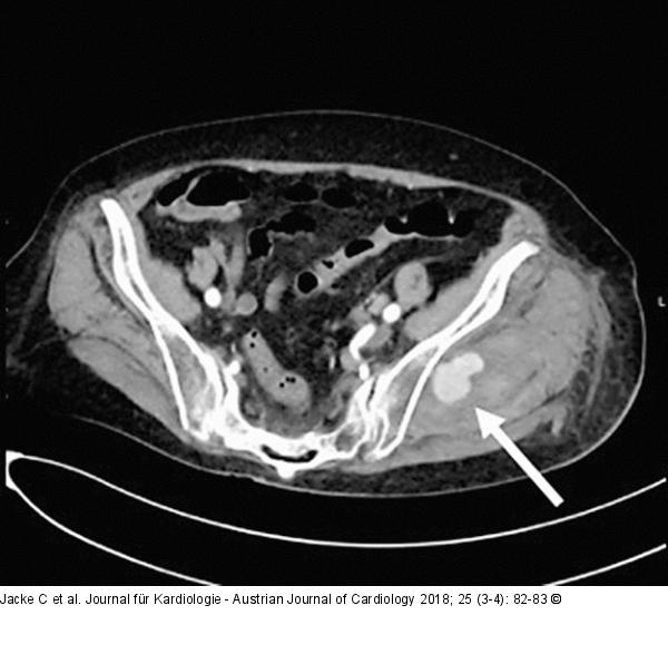
Abbildung 1: Persistierende Blutung Angio-CT zeigt die persistierende Blutung (weißer Pfeil) aus der linken Art. obturatoria. |
Abbildung 1: Persistierende Blutung
Angio-CT zeigt die persistierende Blutung (weißer Pfeil) aus der linken Art. obturatoria. |
