Battyanyi B Echokardiographie aktuell: Überraschender Befund nach einer betriebsärztlichen Untersuchung Journal für Kardiologie - Austrian Journal of Cardiology 2019; 26 (7-8): 209-211 Volltext (PDF) Übersicht
| ||||||||||||||||
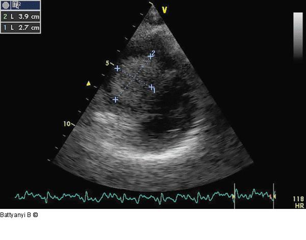
Abbildung 2: Kurze Achse Modifizierte parasternale kurze Achse. Die Anlotung zeigt die in die rechte Herzkammer prolabierende Raumforderung. |
Film starten
Abbildung 2: Kurze Achse
Modifizierte parasternale kurze Achse. Die Anlotung zeigt die in die rechte Herzkammer prolabierende Raumforderung. |
