Baumann-Durchschein F, Schlager H Bauchvenenthrombosen // Abdominal vein thromboses Zeitschrift für Gefäßmedizin 2021; 18 (3): 5-11 Volltext (PDF) Summary Praxisrelevanz Übersicht | ||||
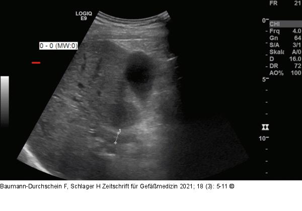
Abbildung 1: Pfortaderthrombose Abdomen-Sonographie bei chronischer Pfortaderthrombose in einer nicht zirrhotischen Leber. Das Lumen der V. portae ist durch thrombotisches Material verlegt (s. Markierung) |
Abbildung 1: Pfortaderthrombose
Abdomen-Sonographie bei chronischer Pfortaderthrombose in einer nicht zirrhotischen Leber. Das Lumen der V. portae ist durch thrombotisches Material verlegt (s. Markierung) |
