Will M, Mascherbauer J Aktuelles: Stay transfemoral – Sicherstellung des transfemoralen Zugangs bei TAVI durch intravaskuläre Lithotripsie Journal für Kardiologie - Austrian Journal of Cardiology 2021; 28 (11-12): 410-412 Volltext (PDF) Übersicht | ||||||||||
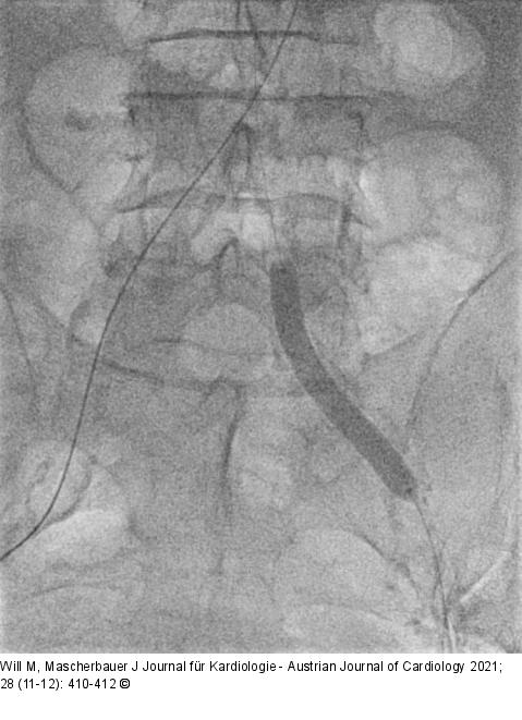
Abbildung 3: IVL-Therapie IVL-Therapie mit Shockwave-Ballon im linken Leistengefäßsyste |
Abbildung 3: IVL-Therapie
IVL-Therapie mit Shockwave-Ballon im linken Leistengefäßsyste |
