Verlag für Medizin und Wirtschaft
Artikel
Bilder
Volltext
Mobile Version
A-
|
A
|
A+
Werbung
Abo
Bestellung Jahresabonnement (Print/elektronisch)
Bestellung kostenloses e-Journal-Abo
Mediadaten
Journale
News
Datenbanken
Suche Medizinische Publikationen
Suche Abbildungen und Grafiken
Medizinprodukte - Labortechnik
Antidotarium (Stand 2012)
Phytokodex (Stand 2012)
Fortbildung
Bücher
Fachbücher
Patientenliteratur
Impressum
Offenlegung
Kontakt
Disclaimers & Copyright
Allgemeine Geschäftsbedingungen
Datenschutzerklärung
Sitemap
Sterniste G, Valipour A
Fallquiz
Journal für Pneumologie 2022; 10 (2)
: 29-33
Volltext (PDF)
Übersicht
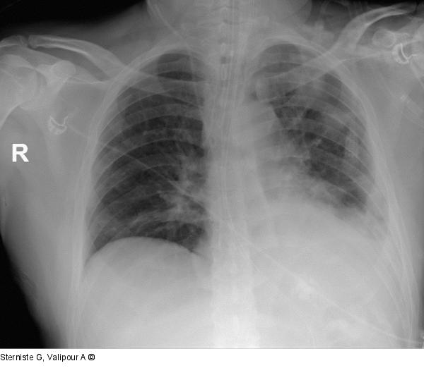
Abbildung 2: Thoraxröntgen
Thoraxröntgen 27.02.2022
Vorheriges Bild
Nächstes Bild
Abbildung 2: Thoraxröntgen
Thoraxröntgen 27.02.2022
copyright © 2000–2026
Krause & Pachernegg GmbH
|
Sitemap
|
Datenschutz
|
Impressum
Werbung