Sterniste G, Valipour A Fallquiz Journal für Pneumologie 2022; 10 (2): 29-33 Volltext (PDF) Übersicht | ||||||||||
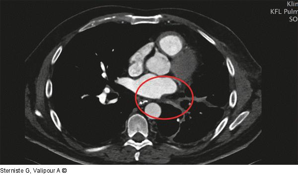
Abbildung 5: Pulmonalvenenstenose Computertomographie: Pulmonalvenenstenose |
Abbildung 5: Pulmonalvenenstenose
Computertomographie: Pulmonalvenenstenose |
