Wessely E Akute Aortenklappeninsuffizienz durch Endokarditis Journal für Kardiologie - Austrian Journal of Cardiology 2004; 11 (3): 123-126 Volltext (PDF) Übersicht | ||||||||||||
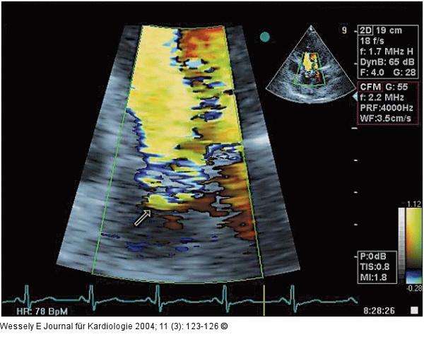
Abbildung 3: Aortenklappeninsuffizienz - Endokarditis Flowkonvergenzzone oberhalb der Aortenklappe, diastolisches Farbdopplersignal im apikalen 5-Kammerblick |
Abbildung 3: Aortenklappeninsuffizienz - Endokarditis
Flowkonvergenzzone oberhalb der Aortenklappe, diastolisches Farbdopplersignal im apikalen 5-Kammerblick |
