Auer J, Eber B, Maurer E Akutes Koronarsyndrom bei Stenose des Hauptstammes der linken Herzkranzarterie Journal für Kardiologie - Austrian Journal of Cardiology 2004; 11 (4): 169-171 Volltext (PDF) Übersicht | ||||||||||||||||
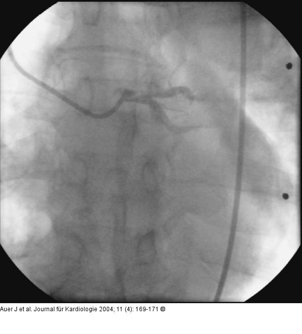
Abbildung 3: Akutes Koronarsyndrom - Stenose der linken Herzkranzarterie Stenosierung im Hauptstamm der linken Herzkranzarterie |
Abbildung 3: Akutes Koronarsyndrom - Stenose der linken Herzkranzarterie
Stenosierung im Hauptstamm der linken Herzkranzarterie |
