Hu Z, Klein S, Pollak J Hepatozelluläres Karzinom mit intravasaler Tumorprogagation in den rechten Ventrikel Journal für Kardiologie - Austrian Journal of Cardiology 2004; 11 (4): 172-175 Volltext (PDF) Summary Übersicht | ||||||||||
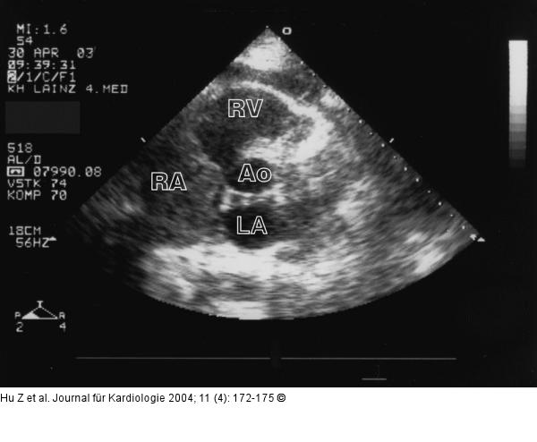
Abbildung 1: Tumorpropagation in den rechten Ventrikel 2-D-Echokardiogramm in der kurzen Achse bei Aufnahme: Ausgedehnter Tumor, der den gesamten rechten Vorhof ausfüllt, bis zur Trikuspidalklappe reicht und den Einstrom in den rechten Ventrikel behindert. |
Abbildung 1: Tumorpropagation in den rechten Ventrikel
2-D-Echokardiogramm in der kurzen Achse bei Aufnahme: Ausgedehnter Tumor, der den gesamten rechten Vorhof ausfüllt, bis zur Trikuspidalklappe reicht und den Einstrom in den rechten Ventrikel behindert. |
