Hammerl H Echokardiographie aktuell: Aneurysma des interventrikulären Septums Journal für Kardiologie - Austrian Journal of Cardiology 2004; 11 (7-8): 330-331 Volltext (PDF) Übersicht | ||||||||
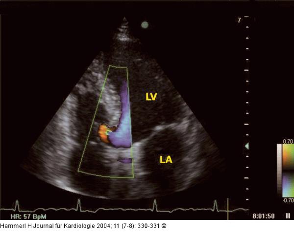
Abbildung 3: Interventrikuläres Septum - Aneurysma Apikaler Vierkammerblick - Farbdopplerstudie: Flow-Verhältnisse im Bereich des Aneurysma ohne interventrikulären Shunt; LA = linker Vorhof; LV = linker Ventrikel |
Abbildung 3: Interventrikuläres Septum - Aneurysma
Apikaler Vierkammerblick - Farbdopplerstudie: Flow-Verhältnisse im Bereich des Aneurysma ohne interventrikulären Shunt; LA = linker Vorhof; LV = linker Ventrikel |
