Gattermeier M, Kratzer H, Kühn P, Zeindlhofer E Fallbericht: Subakute Stentthrombose trotz optimaler antithrombotischer Medikation Journal für Kardiologie - Austrian Journal of Cardiology 2002; 9 (5): 191-195 Volltext (PDF) Übersicht | ||||||||||||||||
Abbildung 2: Subakute Stentthrombose - Fallbericht Subtotaler LAD-Verschluß am Abgang, Projektion von rechts-kaudal. |
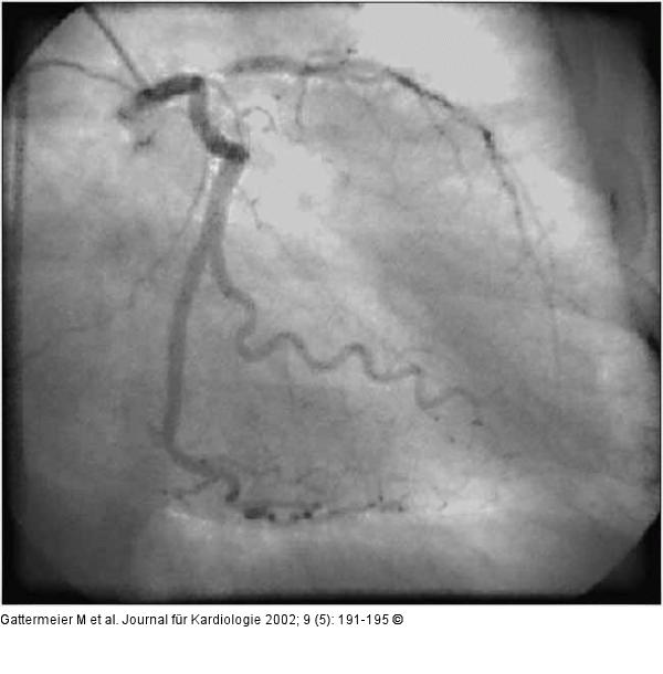
Abbildung 2: Subakute Stentthrombose - Fallbericht
Subtotaler LAD-Verschluß am Abgang, Projektion von rechts-kaudal. |
