Wessely E Echokardiographie aktuell: Arrhythmogene rechtsventrikuläre Dysplasie (ARVD) Journal für Kardiologie - Austrian Journal of Cardiology 2004; 11 (10): 419-420 Volltext (PDF) Übersicht | ||||||||||||
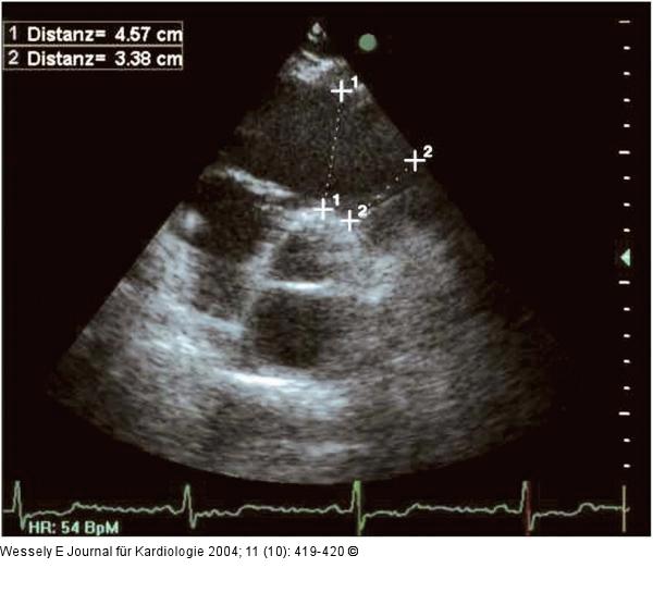
Abbildung 5: Parasternaler Längsschnitt - Parasternaler Querschnitt Parasternaler Längs- und Querschnitt mit Vermessung des rechtsventrikulären Ausflußtraktes in mehreren Ebenen. |
Abbildung 5: Parasternaler Längsschnitt - Parasternaler Querschnitt
Parasternaler Längs- und Querschnitt mit Vermessung des rechtsventrikulären Ausflußtraktes in mehreren Ebenen. |
