Kammler J EKG-Beispiel: Sinustachykardie mit inkomplettem Rechtsschenkelblock und ST-Streckenveränderungen Journal für Kardiologie - Austrian Journal of Cardiology 2005; 12 (3-4): 62-63 Volltext (PDF) Übersicht | ||||||
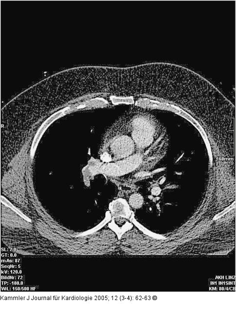
Abbildung 2: Zentrale Pulmonalembolie Zentrale Pulmonalembolie rechts mit einem Sattelembolus der Unterlappenarterie und Kontrastmittelaussparungen aus der A. pulmonalis in die Ober- und Mittellappenarterie; die rechte Pulmonalarterie mit 2,5 cm sowie der Truncus pulmonalis mit 3,4 cm ektatisch. |
Abbildung 2: Zentrale Pulmonalembolie
Zentrale Pulmonalembolie rechts mit einem Sattelembolus der Unterlappenarterie und Kontrastmittelaussparungen aus der A. pulmonalis in die Ober- und Mittellappenarterie; die rechte Pulmonalarterie mit 2,5 cm sowie der Truncus pulmonalis mit 3,4 cm ektatisch. |
