Wallner H Fallbericht: Perkutane retrograde Rekanalisation mit Angioplastie und Stentimplantation eines kompletten Verschlusses der Arteria femoralis superficialis (SFA) links bei PAVK IIb Zeitschrift für Gefäßmedizin 2005; 2 (2): 25-27 Volltext (PDF) Übersicht | ||||||||||||||
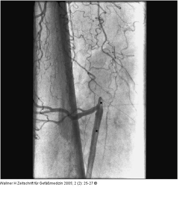
Abbildung 4: Backup-Ballon Liegende Schleuse, Marker des Backup-Ballons (Patient in Bauchlage) |
Abbildung 4: Backup-Ballon
Liegende Schleuse, Marker des Backup-Ballons (Patient in Bauchlage) |
