Spinka R Echokardiographie aktuell: Rechtsatriale Thrombose nach 2-Kammer-Schrittmacherimplantation Journal für Kardiologie - Austrian Journal of Cardiology 2005; 12 (9-10): 246-247 Volltext (PDF) Fallbeschreibung Übersicht
| ||||||||||
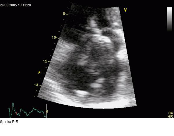
Abbildung 3: Rechtsatriale Thrombose nach 2-Kammer-Schrittmacherimplantation Transthorakale Darstellung der regressiven Veränderung nach mehrwöchiger Therapie mit oralen Antikoagulantien. |
Film starten
Abbildung 3: Rechtsatriale Thrombose nach 2-Kammer-Schrittmacherimplantation
Transthorakale Darstellung der regressiven Veränderung nach mehrwöchiger Therapie mit oralen Antikoagulantien. |
