Neuhold U Echokardiographie aktuell: Low-output-Aortenklappenstenose Journal für Kardiologie - Austrian Journal of Cardiology 2006; 13 (3-4): 104-105 Volltext (PDF) Fallbeschreibung Übersicht
| ||||||||||||||||
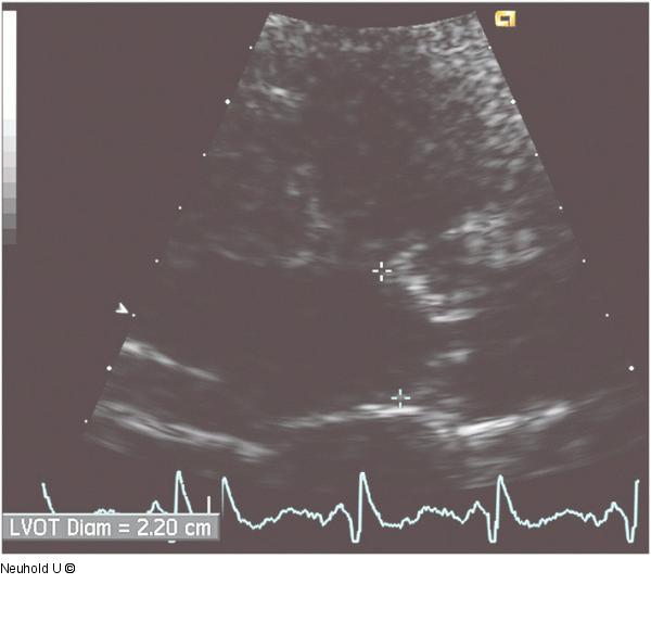
Abbildung 3: LVOT-Diameter Messung des LVOT-Diameters mesosystolisch (inner edge to inner edge) |
Abbildung 3: LVOT-Diameter
Messung des LVOT-Diameters mesosystolisch (inner edge to inner edge) |
